
YOUR INVISALIGN EXPERT NEAR ME IN OVERLAND PARK KS

Dr. Jeffrey Lenius is the trusted orthodontist Overland Park families turn to for Invisalign. If you or your child have been told that Invisalign isn’t an option, schedule a consultation with Dr. Lenius so he can show you what’s possible!

Overland Park Invisalign with Lenius Orthodontics
Invisalign in Overland Park KS: Transform Your Smile with Clear Aligners at Lenius Orthodontics
We are proud to provide excellent Invisalign treatments, made just for you, with great care and accuracy. At Lenius Orthodontics, Invisalign treatment in Overland Park is designed to provide the best results. Dr. Jeffrey Lenius and his team use advanced technology to ensure you achieve the smile you’ve always wanted.
What sets us apart is our personalized care, straightforward communication, and attention to every small detail. We schedule customized check-ups based on how well you’re wearing your aligners. By tracking your progress compared to your treatment plan and reviewing your aligner habits, we adjust appointments and timelines to give you the best results. This approach minimizes unnecessary visits to the office and allows us to handle any concerns quickly and effectively.
Our commitment to providing high-quality service and care makes us the ideal choice for Invisalign in Overland Park, KS.
What is the Invisalign Aligner System?
The modern Invisalign system, created by Align Technology, offers a state-of-the-art solution for straightening teeth with the use of clear, removable aligners. These aligners are replaced incrementally to address alignment concerns gradually and effectively. Unlike traditional metal braces, Invisalign clear aligners are invisible and can be conveniently removed while eating or performing daily oral hygiene.
The aligners are precisely engineered using advanced 3D computer imaging technology to ensure a comfortable and accurate fit for each patient. Additionally, since the Invisalign system eliminates the need for metal brackets or wires, it significantly reduces the risk of mouth irritation often caused by traditional braces. As a result, Invisalign offers a modern, comfortable, and visually appealing alternative to conventional orthodontic treatments.
The Profound Benefits of Invisalign Braces
Invisalign aligners provide a discreet and nearly invisible solution for teeth straightening, making them a favored choice for both adults and teenagers who want to improve their smiles without the noticeable appearance of traditional braces. Their removable design provides added convenience, enabling users to comfortably enjoy meals and maintain unrestricted oral hygiene practices.
From a hygiene standpoint, these aligners make brushing and flossing much easier, leading to healthier gums and reduced chances of tooth decay.
In some cases, Invisalign may deliver faster results compared to traditional braces, making it especially appealing to those looking for a quicker path to their ideal smile. Overall, Invisalign aligners offer an unmatched combination of aesthetics, comfort, convenience, and efficiency, setting them apart as a modern alternative to conventional orthodontic treatments.

Kelsey – Actual LO Patient

Iman – Actual LO Patient
Our High Precision Invisalign Aligners Process
The first consultation and assessment are thorough, focusing on evaluating the patient’s oral health, specifically the condition of their teeth and gums. This process typically includes reviewing the patient’s dental history and discussing their treatment goals and expectations. Based on this information, our team creates a customized treatment plan, tailored to address each patient’s unique needs and objectives.
The development of custom aligners is an essential part of the treatment process, designed with accuracy to deliver both comfort and maximum effectiveness. Regular follow-up appointments, play a vital role in the treatment’s success by allowing progress to be tracked, necessary adjustments to be made and any patient questions or concerns to be addressed. This thorough method guarantees a tailored and successful treatment experience for each patient.
Invisalign Clear Aligners – An Ideal Solution for Adults and Teens
Invisalign is an excellent orthodontic option for individuals of various age groups, including both adults and teenagers. For adults, it provides a subtle and nearly invisible alternative to straighten teeth, making it an ideal solution for those concerned about the aesthetic impact of traditional braces. Its removable design allows for better oral hygiene, reducing the risk of gum problems and tooth decay associated with fixed braces. In addition, Invisalign ensures a more comfortable treatment experience, eliminating the irritation and discomfort caused by brackets and wires.
For teenagers, Invisalign offers a discreet and visually appealing alternative to traditional metal or ceramic braces. It allows teens to stay active in sports and hobbies without worrying about injuries caused by broken wires or brackets. The treatment is designed to adjust to growing jaws and shifting teeth, making it an excellent option for developing smiles. Invisalign aligners are tailored to fit seamlessly into busy lifestyles. They are removable, enabling easy eating, drinking, brushing, and flossing, while also reducing the need for frequent orthodontic appointments. With their nearly invisible design, these aligners provide a subtle teeth-straightening solution that suits both social interactions and professional environments, ensuring minimal impact on the daily life of teenagers.


Affordable Pricing and Flexible Payment Options for Invisalign Aligners for Teeth
If you’re looking for Invisalign treatment nearby, you can have peace of mind knowing that our Invisalign payment plans are transparent and straightforward, ensuring there are no unexpected costs. We take the time to go over the Invisalign cost, potential Invisalign insurance benefits and details about orthodontic coverage, helping you understand what aspects of the treatment may be included. Additionally, we strive to make our dental care accessible by offering flexible financing solutions and a range of affordable payment options tailored to your needs.
Our financial team is always available to work with patients in order to create a payment plan that best fits their budget.
Angel Aligners: Save with Generic Aligners
Angel Aligners utilize innovative technology that offers discreet and comfortable wear, helping you achieve a beautiful smile without the use of traditional metal braces and wires. This treatment involves a series of clear, customized aligners that fit precisely on your teeth. Your nearly invisible aligners will gradually straighten your teeth according to a personalized treatment plan designed by Dr. Jeffrey Lenius, ultimately bringing you closer to your ideal smile. Below are some key features and advantages that make Angel Aligners a groundbreaking orthodontic solution.


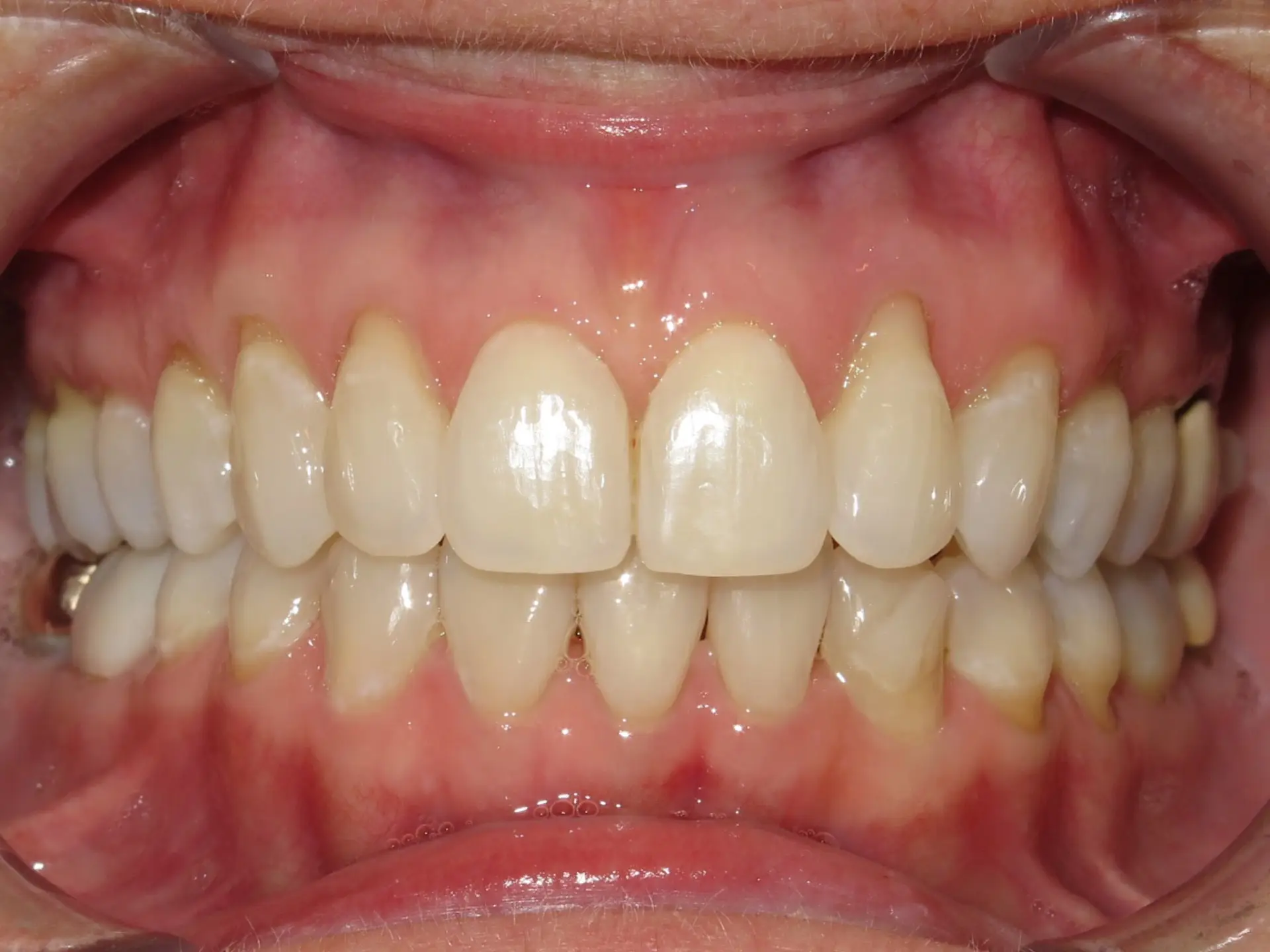
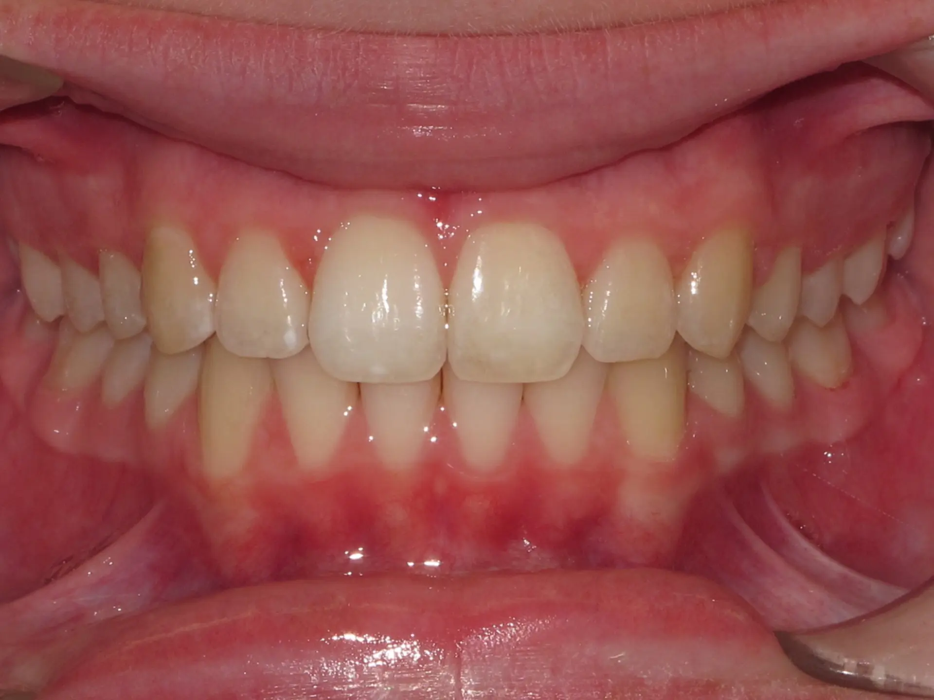
Amazing Invisalign Before and After Photos in Overland Park, KS

Before

After

Before

After

Before

After
Schedule Invisalign Free Consultation
Ready to transform your smile with the Invisalign Overland Park? Click the link or contact us today if you have any questions to schedule your free orthodontic consultation!
Testimonials:
Our Orthodontic Patient Reviews
We’re thankful for the opportunity to serve our patients and community. Check out what our patients are saying about their 5-star experience with us!

